アントロキノノールは、ベニクスノキタケというキノコから わずか0.1%含有 している成分です。わずか0.1%ゆえ、アントロキノノールが含有されているベニクスノキタケと含有されていないベニクスノキタケがあります。
ベニクスノキタケは台湾の高地に自生していますが、あまりの希少性のため伐採が禁止されています。台湾のゴールデンバイオテック社は、 世界で初めてアントロキノノールを発見し、これまで 100億円以上の金額を投入して研究開発 をしてきました。
そして、ゴールデンバイオテック社は世界で唯一アントロキノノール含有エキスを製造販売している企業です。
台湾のゴールデンバイオテック社は、DNA検査を行いアントロキノノールが含有されるベニクスノキタケを選別し、独自の技術でベニクスノキタケを培養しています。
https://www.goldenbiotech.com/en
https://youtu.be/mVg_bSwy7VU?si=mu9aXwo0pRZHbtwj

ベニクスノキタケを培養


-
アントロキノノール
抗腫瘍効果(がん細胞自食作用、アポトーシス誘導)
-
βグルカン等の多糖類
抗腫瘍作用、高血圧改善作用、血糖降下作用
-
*トリテルペン類
血圧降下作用、抗腫瘍作用、抗炎症作用、肝機能向上
-
GABA(ギャバ)
肝機能改善作用、血圧上昇抑制作用
-
エルゴステロール
骨粗しょう症予防作用、抗腫瘍作用
-
SOD(スーパーオキシドディスムターゼ)
抗酸化作用
-
核酸
血行促進、老化防止、



T様が2005年12月の定期健診で、腫瘍マーカーのCEAが異常な値を示し、その値は15ng/dl(標準値は5ng/dl)であった。更に検査を行ったところ、特に異常はなく、毎月定期健診をすることとなった。
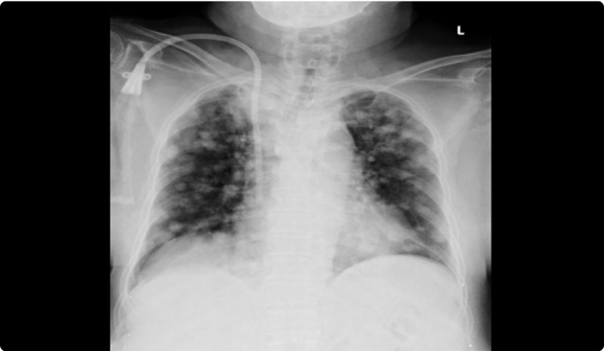
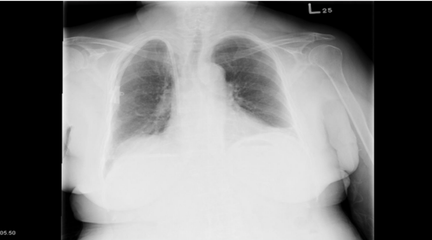
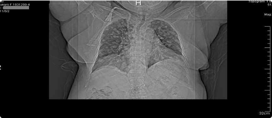
半年後の定期健診(2006年6月)で腫瘍マーカーのCEAが断続的に上昇していたので、レントゲンを撮影した結果、肺癌と診断された。
肺癌と診断された後、2006年7月に緊急手術が行われ、胸を開いてみると、レントゲンで見つかった2センチメートルの2個の腫瘍のほかに、左肺葉と胸膜に転移が見つかり、なすすべがありませんでした。
そして、余命宣告を受けました。
その後T様は一年半、分子標的治療等を受け、癌をコントロールしていました。しかし、腫瘍マーカーのCEAの動きは激しく、癌の安定化には至りませんでした。そこで2008年にT様の友人である医師の紹介でアントロキノノール含有エキスの摂取を始めました。
T様はアントロキノノール含有エキスを服用し続け、毎月定期健診をしていたところ、病状は改善されていきました。そして一年後の2009年7月24日の各種検査でがん細胞は検出されなくなり、他の検査の数値も安定していました。
現在もT様はお元気にお過ごしになられています